Dental Implants in Arlington Heights, IL, at AH Smiles
Dr. Brent Engelberg provides dental implants in Arlington Heights, as well as other advanced treatment options to replace missing teeth. Look no further if you search for a permanent, secure, and naturally functioning result. Dental implants can replace a single missing tooth or secure a denture for the upper and lower arches.
Dr. Brent Engelberg offers dental implants to his patients with tooth loss. Dental implants offer many more benefits for oral health and quality of life than traditional tooth replacement treatments. They have increasingly become the number one recommended treatment for missing teeth. Dr. Engelberg coordinates treatment with top local oral surgeons for the surgical phases of the implant process. He will restore the implants at his dental office.

What Are Dental Implants?
A dental implant is a biocompatible titanium post that fuses to the jawbone. It replaces the root of a missing tooth and supports a dental crown (for a single missing tooth), bridge (for several missing teeth), or denture (to replace all missing teeth).
Dental implants look, feel, and function just like natural teeth. Because they are surgically implanted into the jawbone, they are the strongest, most stable, and most durable replacement option available. They can restore your natural chewing ability and speech and stimulate the jawbone to prevent bone loss.
Every one of your natural teeth consists of a root and a crown. Dental implant-supported teeth replacement options resemble natural teeth in this respect. Dental implants have a visible crown that bites and chews food. They also have a root-like metal post anchored in the jaw that holds the crown in place. The only difference between a dental implant and a natural tooth is that all the parts that make up an implant restoration are artificial. A typical implant has three different parts.

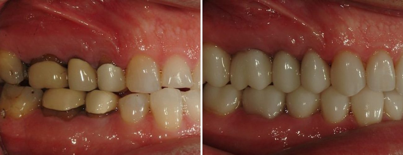
Dental patient before and after dental implant replacement at AH Smiles.
The 3 Parts of a Dental Implant Restoration
Implant Post: An implant post is an artificial tooth root surgically placed into the jawbone. It is made from titanium, a light yet durable metal well-accepted by the human body. It resembles a screw with threads to anchor it in place and allow the bone to grow around it. The bone cells in the jaw will attach to the post, creating a strong bond during osseointegration.
Abutment: The next part is a small connector piece called an abutment or container. This piece will connect the implant post to the dental restoration. These pieces can be either standard or customized to your unique needs. A minor second surgery is necessary to uncover the implant and attach the abutment. Sometimes, we place a healing abutment, or healing cap, right after the implant surgery to help the gums heal around the dental implant. In this situation, we attach the permanent abutment right before the restoration.
Restoration: The final part of the dental implant is the dental restoration. This part will resemble a natural tooth and help you bite and chew your food. Dr. Engelberg will attach your restoration at his dental office in Arlington Heights, IL. Depending on the type of dental implant, he will use a dental crown, a dental bridge, a partial denture, or a full denture.
Patient Review
The Benefits of Dental Implants
- 98% success rate (highest rate compared to other dental procedures)
- Prevents bone loss and gum recession
- Promotes a healthier diet with fresh foods
- Unlike bridgework, it requires no preparation for neighboring teeth
- Improves speech
- Improves comfort in denture-wearing patients
Dental implants are the gold standard for tooth replacement. We recommend them to any eligible patient seeking a quality tooth replacement solution. They’re the only restorations that replace both the tooth root and crown, the only option that assists jawbone regeneration. You don’t impact any of your other teeth, either. The implants and their restoration will stand on their own.
While dental implants have a higher upfront cost, you don’t incur further costs. You won’t need adjustments or replacements for your restoration because it will continue to fit properly. Dentures and dental bridges must be replaced because the jawbone continues to deteriorate, affecting their fit. Since you don’t have that problem with dental implants, you won’t have these extra future expenses.

The Dental Implant Procedure
One to three visits are typically necessary to complete the dental implant procedure. During the first visit, Dr. Engelberg will complete a comprehensive dental health evaluation to determine if you are a candidate for dental implants. You should have good overall health and enough healthy jawbone to support the implanted post.
Your dentist will coordinate the surgical phase of the dental implant procedure with a local oral surgeon and follow up with your care to ensure a good result. Dental implant placement is a simple procedure performed by an oral surgeon in their office under local anesthesia. The implant typically takes three to six months to heal and fully integrate with the jawbone.
After the healing process is complete, Dr. Engelberg will attach a custom dental crown, bridge, or denture to restore the aesthetics and function of your smile. Your restoration will look and function the same as your natural teeth. You can brush your teeth, floss normally, and eat or drink without limitations.
With routine dental care and good oral hygiene, you can expect your dental implant to provide a secure, comfortable smile that lasts a lifetime.
Schedule a Dental Exam & Consultation
Losing a tooth, or several teeth, can affect everything. How you eat, speak, and feel about your smile. It can also feel like one more problem on top of everything else.
Dental implants are the gold standard for replacement. But the process can sound intimidating. Fortunately, you’re in the right place. We have designed our implant process to be as comfortable and stress-free as possible.
- Your comfort is planned from the first visit. We use gentle numbing techniques and offer sedation for the surgical phase.
- Your implant coordinator will guide you through every step, so you never feel lost or uncertain.
- We partner with top local oral surgeons, but we stay with you every step of the way, from planning to final restoration.
The result is a smile that looks, feels, and functions like your natural teeth and a journey that feels supported from start to finish.
If you are missing a tooth or need to replace several missing teeth, schedule a dental exam and implant consultation with Dr. Engelberg. We serve patients from Long Grove, Deerfield, Northbrook, Buffalo Grove, and surrounding areas.
Contact our dental office at (847) 230-9703 or request an appointment online today. We will discuss your oral health, concerns, and budget to see if dental implants are the right choice for you.
Need more inspiration? View photos of previous patients’ before-and-after dental implants, or check out the links below.
