Dental implants are the most permanent, natural looking solution for missing or broken teeth. Broken or missing teeth are often more than a dental problem. They can affect daily quality of life as well as your sense of confidence in your appearance. If you have missing teeth, dental implants may be the best solution. Dental implants placement is a routine restorative procedure. It offers a 95% success rate, and long-lasting benefits. AH Smiles, with your dentist in Arlington Heights, IL, offers dental implants in his Long Grove, IL area dental office.

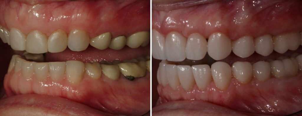
Dental patient before and after implant restorations at AH Smiles.
Advantages of Dental Implants near Long Grove, IL
If you are missing teeth, Dr. Engelberg will recommend dental implants because they have been proven to be the best solution. The advantages of dental implants compared to other treatments for missing teeth are extensive. Even though the investment may seem larger in the beginning, it’s important to remember that dentures and dental bridges will require costly maintenance and replacement over time.
- Better preservation of bone structure
- Avoids degradation of healthy teeth (as in conventional bridgework)
- Improves the appearance of smile and lower face
- No food restrictions
- You won’t have to worry about your dentures falling out
- Look exactly like your natural teeth
- Superior durability and longevity
Patient Review
The Dental Implant Process near Long Grove, IL
One to three visits are typically necessary to complete the dental implant procedure. During the first visit, Dr. Engelberg will complete a comprehensive evaluation of your dental health to determine if you are a candidate for dental implants. You should be in overall good health and have enough healthy jaw bone to support the implanted post.
Dr. Engelberg will coordinate the surgical phase of the implant process with a local Deerfield, IL oral surgeon or periodontist. It will take about 3-6 months for all soft tissues to heal and the post to integrate into the bone.
Depending on the type of implant you are receiving, at the second visit an abutment will be attached to the post. This will serve to secure the final restoration and will need to heal before the final step.
The final restoration, a custom made dental crown, dental bridge or denture, will be placed in our Long Grove, IL cosmetic dentistry office. Your “new tooth” will be adjusted for a comfortable fit and then permanently secured to the post.
Dental implants can be cared for just like natural teeth with daily brushing, flossing and routine dental visits to ensure oral health.
