New Patients Call
(847) 230-9703
Request Appointment
Our Office
Areas We Serve
In The Media
Meet Dr. Engelberg
Meet Our Team
Our Technology
Testimonials
Dental Services
General Dentistry
Dental Fillings
Periodontal Therapy
Root Canal
Sedation Dentistry
Cosmetic Dentistry
Invisalign
Porcelain Veneers
Tooth Bonding
Minimal-Prep Veneers
Restorative Dentistry
Dental Bridges
Dental Crowns
Dentures & Partials
Full Mouth Reconstruction
TMJ Treatment
Sleep Apnea
Facial Esthetics
Botox® Cosmetic
Facial Fillers
Kybella®
Dental Implants
Benefits of Dental Implants
Dental Implant Cost
Dental Implant FAQs
Dental Implant Process
Dental Implants vs Dentures
Fixed Hybrid Dentures
Multiple Dental Implants
Single Dental Implants
Dental Concerns
Bad Breath
Bleeding Gums
Crooked Teeth
Dental Anxiety
Discolored Teeth
Headaches
Missing Teeth
Sleep Apnea
Tooth Grinding
Smile Gallery
Veneers, Implants, & More
Multi Media Gallery
Glamour Gallery
For Patients
First Visit
Patient Forms
Payment & Insurance
Leave a Review
Blog
Contact Us
New Patients
(847) 230-9703
Current Patients
(847) 259-6988
Request Appointment
Leave a Review
Home
»
Smile Gallery
»
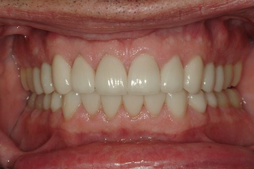
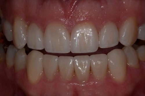
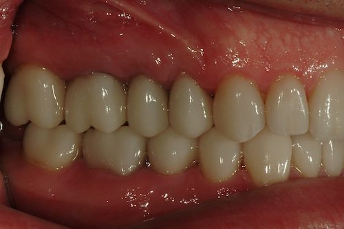
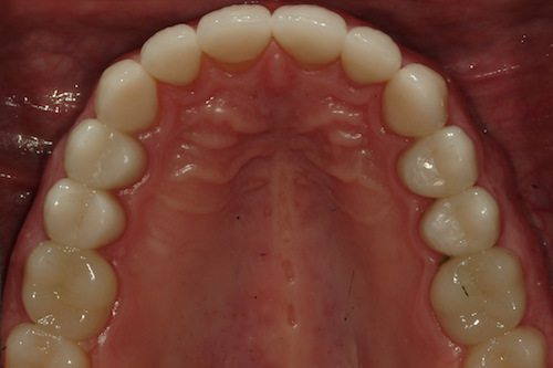
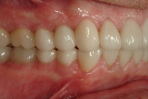
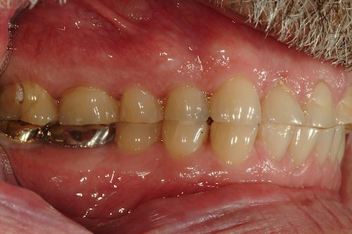
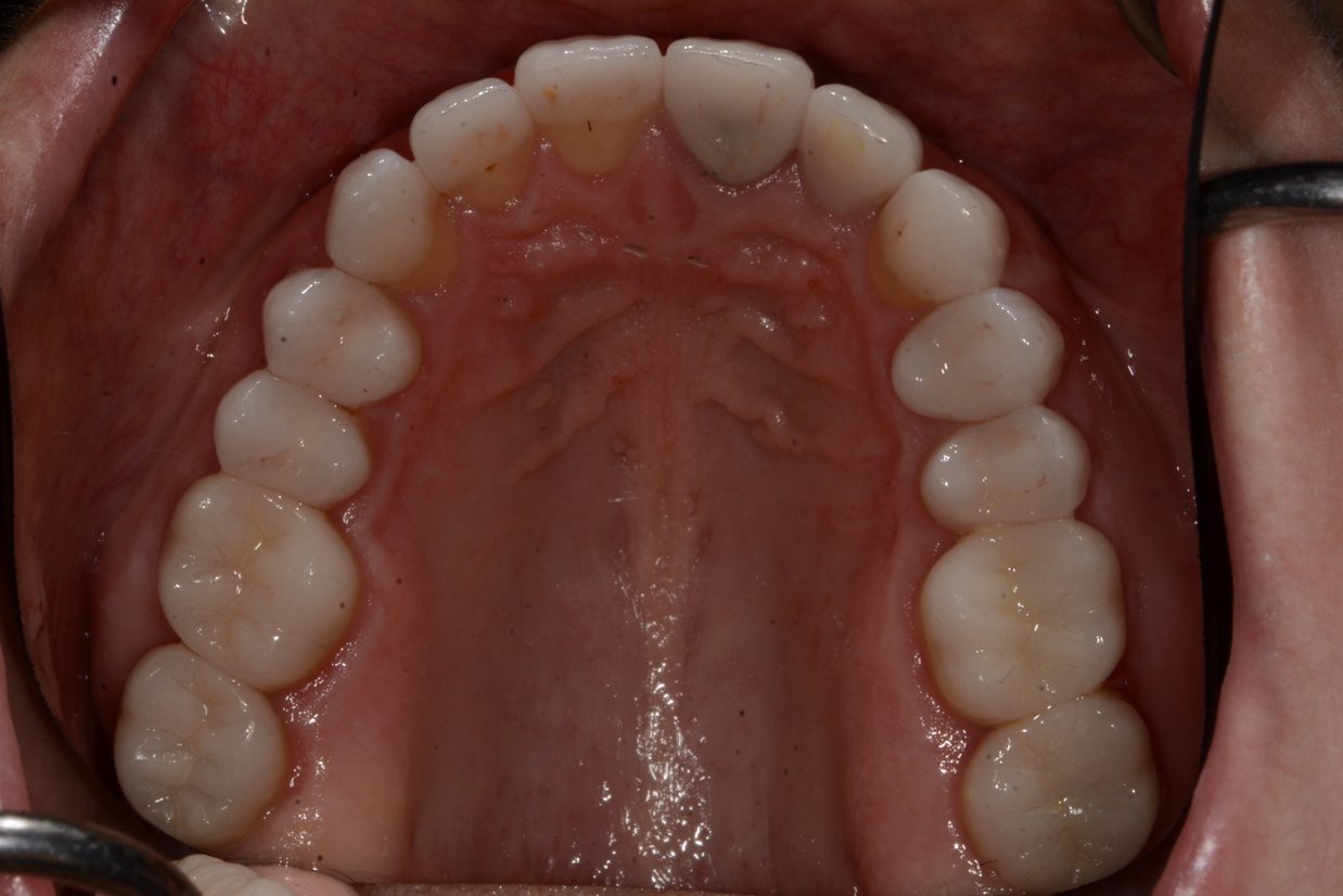
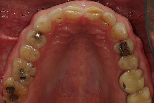
Full Mouth Rehab Before & After
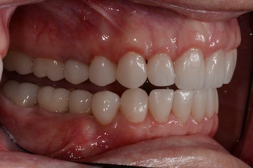
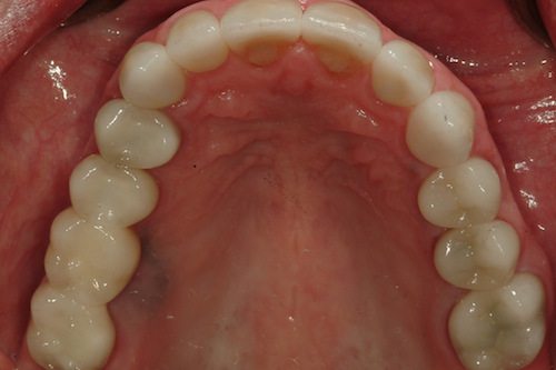
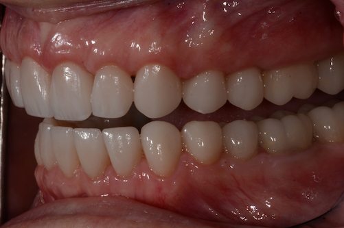
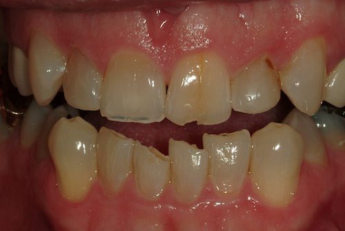
Before & After Full Mouth Reconstruction
Arlington Heights, IL